Ortodonția modernă
Ortodonția modernă nu mai înseamnă doar alinierea dinților, ci un proces personalizat, adaptat fiecărui pacient, care ia în considerare atât funcționalitatea, estetica, cât și sănătatea pe termen lung. Prin utilizarea tehnologiilor digitale, tratamentele ortodontice devin mai precise, mai rapide și mai confortabile.
UTILIZAREA LASERUlUI LITETTOUCH Er:YAG
Laserul Er:YAG (erbium: ytrium-aluminiu-granat) este folosit mai rar direct în tratamentul ortodontic propriu-zis, dar are aplicații complementare extrem de utile în ortodonție, mai ales în etapele asociate igienei, pregătirii smalțului și tratamentului gingival. Principalele utilizări sunt:
TIPURI DE APARATE ORTODONTICE
Tipurile de aparate ortodontice moderne s-au diversificat mult, pentru a oferi tratamente mai estetice, eficiente și confortabile. Cele mai utilizate tipuri sunt:
- Aparate fixe (clasice și moderne)
Metalice (brackets clasici)
- Realizați din oțel inoxidabil
- Eficienți și accesibili
- Vizibili, dar foarte eficienți
Ceramice / Safir
- Brackets transparenți sau de culoarea dinților
- Mai estetici decât cei metalici
- Ușor mai fragili și puțin mai costisitori
Autoligaturante (ex. Damon, SmartClip)
- Nu necesită ligaturi elastice (arcul se fixează cu un sistem propriu)
- Mai confortabile, cu frecare redusă
- Pot scurta durata tratamentului
2. Aparate invizibile
Gutieră transparentă (alignere) – ex: Invisalign, Spark, ClearCorrect
- Dispozitive detașabile, aproape invizibile
- Schimbate la 7–14 zile
- Extrem de estetice și comode
- Necesită disciplină din partea pacientului (purtare > 22h/zi)
3. Aparate linguale (ex: Incognito, WIN)
- Se aplică pe fața interioară (linguală) a dinților
- Complet invizibile din exterior
- Necesită o perioadă de adaptare (pentru vorbire și igienă)
- Cost mai ridicat
4. Aparate ortodontice mobile (copii)
- Plăci acrilice cu șuruburi de activare
- Utilizate în dentiția mixtă (7–12 ani)
- Controlează dezvoltarea maxilarelor
5. Alte sisteme moderne adiționale
- Mini-implanturi ortodontice (TADs): pentru ancoraj suplimentar
- Acceleratori de tratament (ex. Propel, VPro): stimulează mișcarea dinților
CE ESTE IMPORTANT DE ȘTIUT ÎNAINTE DE A ÎNCEPE TRATAMENTUL?
- Tratamentele ortodontice pot fi realizate cu succes la orice vârstă.
- Tratamentele ortodontice pot dura mai mult timp, de aceea este important ca pacientul să înțeleagă planul recomandat de medic.
- Aparatul dentar trebuie îngrijit corect – există metode și produse speciale de curățare, recomandate fiecărui pacient în funcție de nevoi.
- Ortodonția se poate combina cu alte tratamente dentare (implanturi, coroane, lucrări protetice sau intervenții chirurgicale). De exemplu, un aparat poate fi folosit pentru a crea spațiu înaintea montării unui implant.
CÂND ESTE NEVOIE DE UN TRATAMENT ORTODONTIC?
Tratamentul ortodontic este recomandat dacă apar următoarele situații:
- Dinții frontali de sus ies prea în față
- Dinții sunt înghesuiți, din cauza lipsei de spațiu
- Spații mari între dinți (cunoscute ca „strungăreață”)
- Dinții de sus și de jos nu se aliniază corect
- Dinții de sus acoperă prea mult dinții de jos
- Dinții de jos sunt mai în față decât cei de sus
- Există un spațiu între dinții de sus și cei de jos atunci când gura este închisă
- Anumiți dinți nu au erupt (nu au ieșit pe arcadă) și au rămas blocați în os
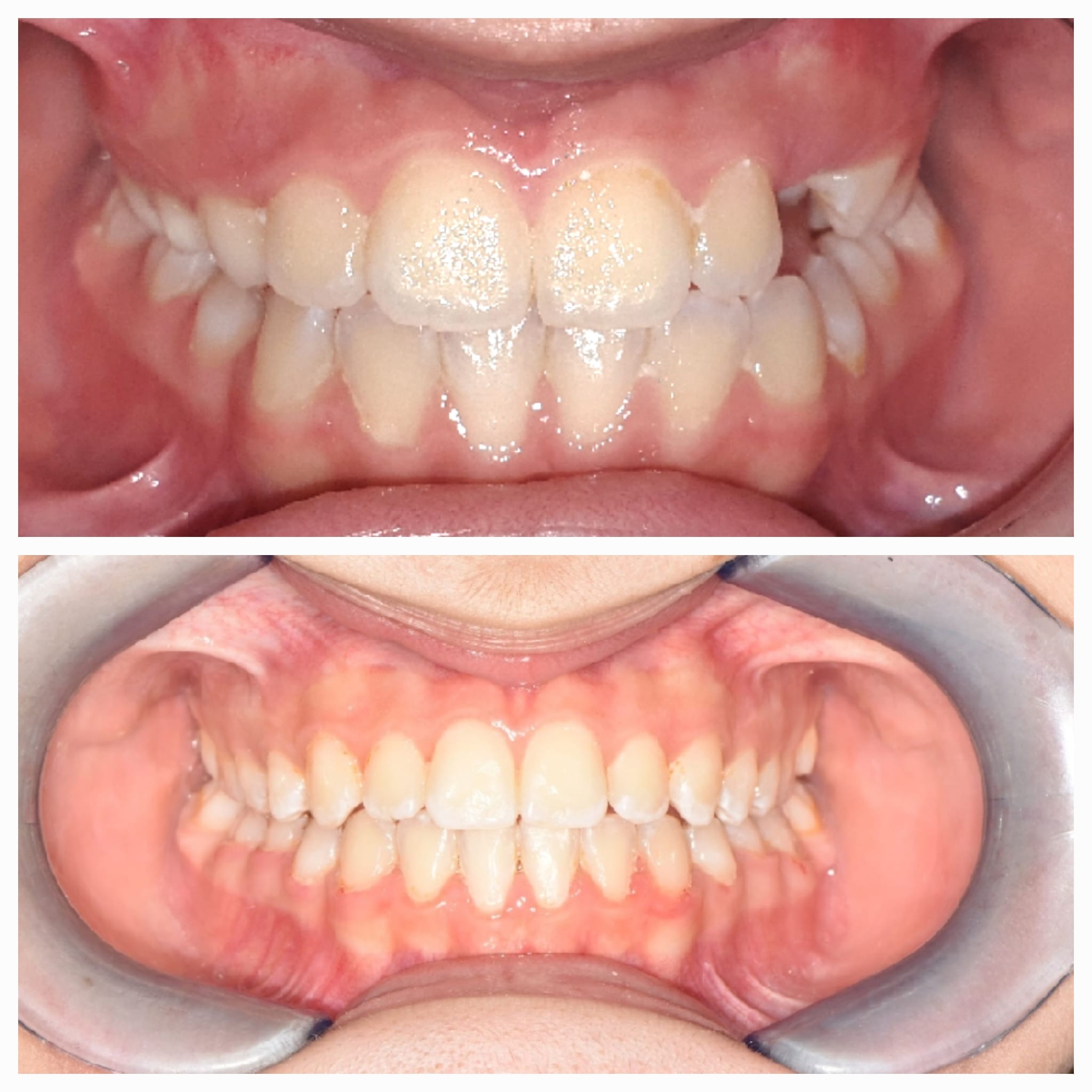
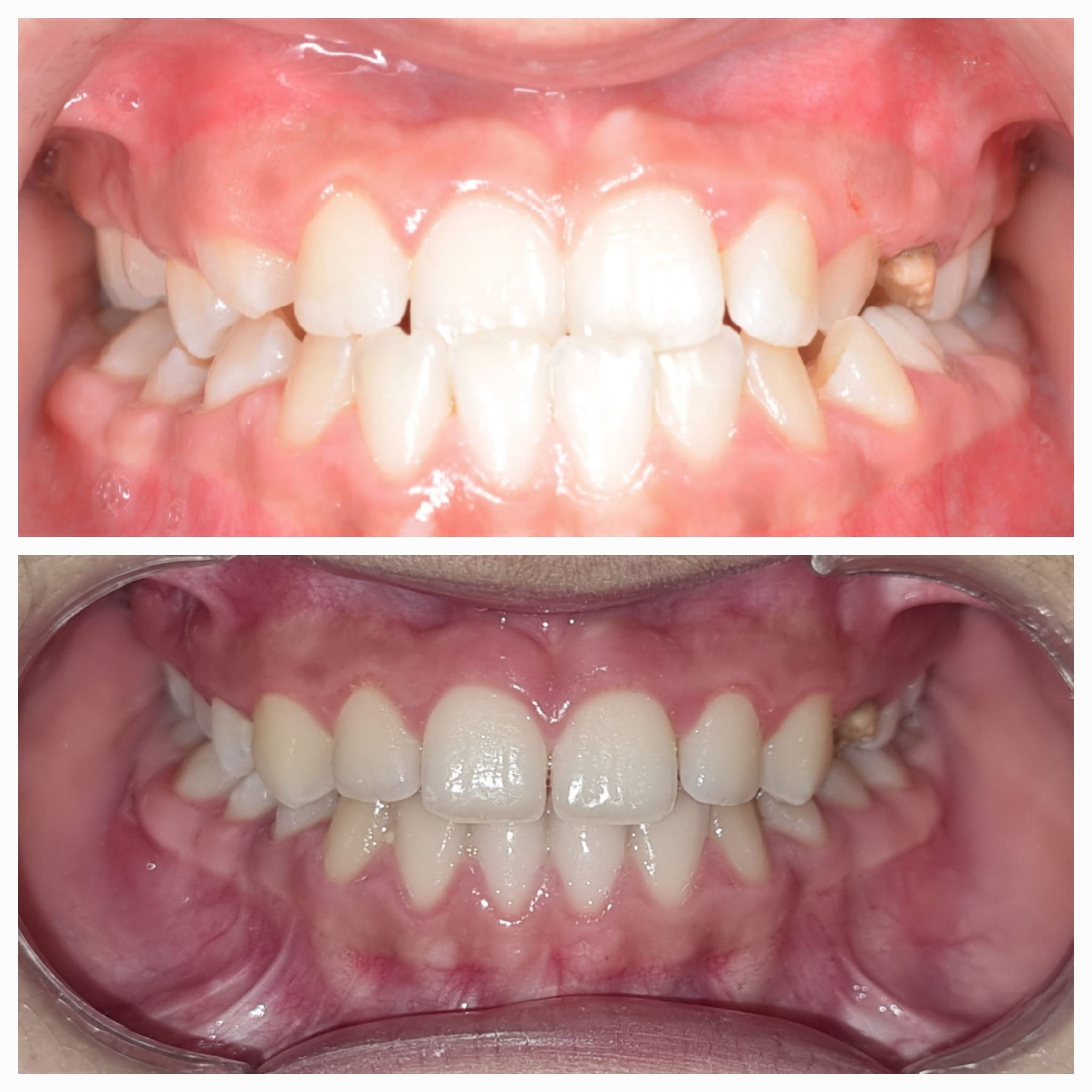
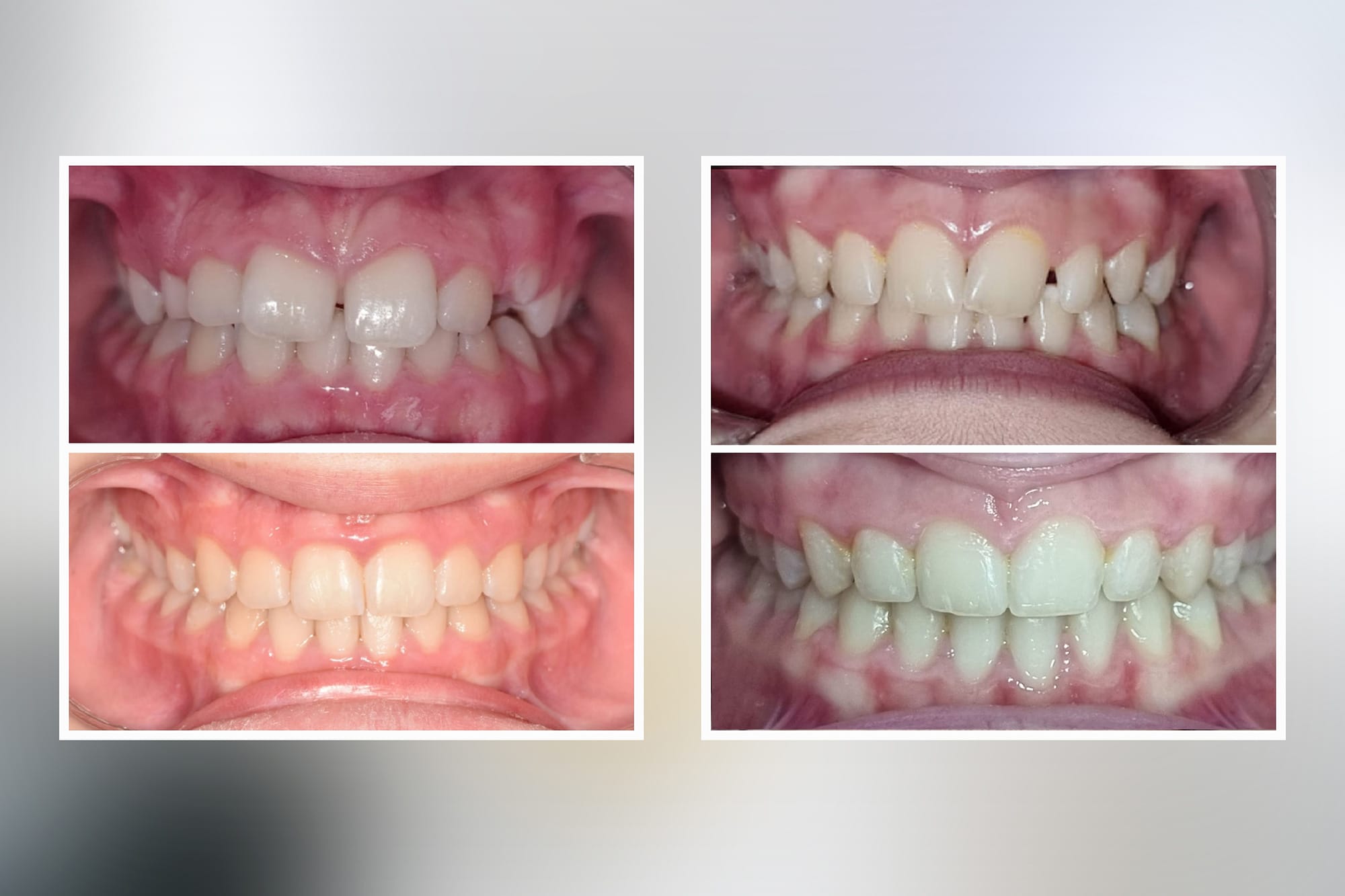
Mituri despre Aparatul Dentar: Ortodonția Modernă la Super Dent 92
Multe persoane amână corectarea zâmbetului deoarece cred că aparatele dentare sunt doar pentru copii sau că procesul este extrem de dureros și inestetic. La Super Dent 92 demontăm aceste mituri folosind planificarea digitală și cele mai discrete soluții ortodontice.
Mitul 1: „Aparatul dentar este doar pentru copii și adolescenți”
- Realitatea: Nu există limită de vârstă pentru tratamentul ortodontic. Tot mai mulți adulți (peste 30-40 de ani) optează pentru aparate dentare, nu doar pentru estetică, ci și pentru a corecta mușcătura (ocluzia), prevenind astfel uzura dinților și problemele articulației temporo-mandibulare. Atâta timp cât gingiile și osul sunt sănătoase, dinții pot fi îndreptați la orice vârstă.
Mitul 2: „Aparatele dentare sunt inestetice și se observă imediat”
- Realitatea: Era „braketurilor” metalice voluminoase a apus. Astăzi poți alege aparate din safir (transparente) sau, cea mai modernă variantă: Alignerele (gutiere transparente). Acestea sunt aproape invizibile, se scot pentru a mânca și pentru igienizare, oferind un confort estetic total pe parcursul tratamentului.
Mitul 3: „Tratamentul ortodontic durează 3-4 ani”
- Realitatea: Datorită planificării computerizate și a noilor materiale, durata tratamentului s-a redus considerabil. În funcție de complexitate, multe cazuri se finalizează acum în 12-18 luni. Prin scanarea digitală, putem previzualiza rezultatul final încă de la prima consultație, optimizând mișcările dentare pentru a fi cât mai rapide.
Mitul 4: „Aparatul dentar este extrem de dureros”
- Realitatea: Disconfortul apare doar în primele zile după aplicare sau activare, fiind mai degrabă o senzație de tensiune decât durere. Tehnologia modernă folosește forțe ușoare, constante, care deplasează dinții fiziologic. Alignerele transparente sunt recunoscute ca fiind cea mai confortabilă metodă, neavând elemente metalice care să zgârie obrajii sau gingiile.
Mitul 5: „După ce scot aparatul, dinții vor rămâne drepți toată viața fără ajutor”
- Realitatea: Dinții au o „memorie” biologică și tind să revină la poziția inițială. De aceea, etapa de retenție este vitală. La Super Dent 92, după finalizarea tratamentului, aplicăm dispozitive de retenție (fixe sau mobile) pentru a asigura stabilitatea noului tău zâmbet pe termen nelimitat.
Mitul 6: „Aparatul dentar strică smalțul și provoacă carii”
- Realitatea: Aparatul în sine nu strică dinții. Cariile apar doar dacă igiena este deficitară, deoarece resturile alimentare se pot acumula în jurul braketurilor. Cu o igienă riguroasă și folosind alignerele (care se scot pentru periaj), riscul de carie este identic cu cel al unei persoane care nu poartă aparat.
SFATURI SI REGULI ALE APARATULUI DENTAR
- 1. Dieta: Ce mâncăm și ce evităm?
Pentru a evita dezlipirea brackeților și prelungirea tratamentului, urmează aceste reguli:
- EVITĂ alimentele dure: Alune, fistic, gheață, coaja de pâine foarte tare, covrigi crocanți.
- EVITĂ alimentele lipicioase: Gumă de mestecat, caramele, jeleuri (acestea pot îndoi arcurile sau dezlipi brackeții).
- TAIE fructele și legumele: Nu mușca direct din mere, pere sau morcovi. Taie-le în feliuțe mici și mestecă-le pe dinții din spate.
- Atenție la sâmburi: Ai grijă la măsline, vișine sau cireșe.
2. Igiena Orală (Cea mai importantă parte!)
- Resturile alimentare se acumulează foarte ușor în jurul aparatului, crescând riscul de carii și inflamații gingivale.
- Periajul obligatoriu: Spală-te pe dinți după fiecare masă. Dacă nu ești acasă, clătește măcar gura energic cu apă.
Instrumente esențiale:
- Periuța interdentară: Esențială pentru a curăța pe sub arc și în jurul brackeților.
- Dușul bucal: Cea mai bună investiție pentru a curăța zonele greu accesibile.
- Ața dentară (Superfloss): Pentru curățarea spațiilor dintre dinți.
3. Disconfortul și Adaptarea
- Primele zile: Este normal să simți o ușoară tensiune sau sensibilitate la mestecat după aplicare sau după activări. Poți folosi un analgezic ușor (la recomandarea medicului).
- Iritații: Dacă aparatul zgârie obrajii sau buzele, folosește ceara ortodontică. Usucă bine brackeul respectiv și aplică o bobiță de ceară peste el.
4. Ce facem în caz de „Urgențe”?
Majoritatea micilor probleme pot fi gestionate până la următoarea programare:
- Sârmulița care înțeapă: Încearcă să o acoperi cu ceară sau să o împingi ușor cu guma de la un creion.
- Bracket dezlipit: Dacă nu te doare, sună la clinică pentru a ne anunța. Îl vom relipi, de regulă, la următoarea ședință sau ne vom programa mai devreme dacă este un bracket strategic.
Arcul a ieșit din tubul din spate: Încearcă să îl repui la loc cu o pensetă sau acoperă capătul cu multă ceară.
5. Responsabilitatea ta
Succesul tratamentului depinde 50% de medic și 50% de tine:
- Respectă cu strictețe vizitele lunare.
- Poartă elasticele intermaxilare exact așa cum ți-a indicat medicul (dacă este cazul).
Sfat rapid pentru pacienți:
„Un aparat dentar curat înseamnă gingii sănătoase și un tratament care se termină la timp. Fără o igienă bună, dinții se pot păta sau caria pe lângă bracket!”
Ghidul Post-Tratament Ortodontic: Cum menții noul tău zâmbet
Felicitări pentru noul tău zâmbet! Pentru ca dinții tăi să rămână perfect aliniați pentru tot restul vieții, urmează cu atenție instrucțiunile de mai jos privind etapa de retenție.
1. Aparatele de contenție (Retainerele)
Dinții au o tendință naturală de a reveni la poziția lor inițială. Contenția este singura metodă care previne acest lucru.
- Retainerul fix (Sârmulița): Este lipit pe interiorul dinților. Nu se simte și nu se vede.
- Atenție: Dacă simți că s-a dezlipit sau te zgârie, contactează-ne în maximum 24-48 de ore.
- Gutiera mobilă: Se poartă conform schemei recomandate de medic (de regulă, 22h/zi în primele luni, apoi doar noaptea).
- Important: Când nu o porți, păstrează-o exclusiv în cutia specială. Nu o înfășura în șervețele!
2. Igiena Orală
- Acum că ai scăpat de brackeți, curățarea dinților este mult mai simplă, dar necesită atenție sporită în zona retenției fixe.
- Folosește dușul bucal sau ața dentară specială (Superfloss) pentru a curăța spațiile de sub sârmulița fixă.
- Igiena riguroasă previne acumularea de tartru și apariția inflamațiilor gingivale.
3. Îngrijirea gutierei de retenție
- Curățare: Spală gutiera după fiecare purtare folosind o periuță de dinți și săpun lichid neutru. Nu folosi pastă de dinți (poate zgâria materialul).
- Temperatură: Nu spăla gutiera cu apă clocotită, deoarece se va deforma și nu se va mai potrivi pe dinți.
- Verificare: Dacă gutiera devine prea strâmtă, înseamnă că nu ai purtat-o destule ore. Crește timpul de purtare imediat.
4. Vizitele de control
- Chiar dacă tratamentul activ s-a încheiat, monitorizarea succesului continuă. Te așteptăm la control conform programării (de obicei la 3, 6 și 12 luni).
- Regulă de aur: Dacă pierzi sau rupi aparatul de retenție mobil, sună-ne imediat pentru o înlocuire. Dinții pot migra vizibil în doar câteva zile fără susținere!






